Wednesday, 19 March 2014

Lung Mass Lungs Diagram of a Smoker after Smoking Cancer Anatomy And Heart Drawing Images AFter Smoking Wee

Lung Mass Biography

(Source google.com)
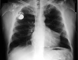
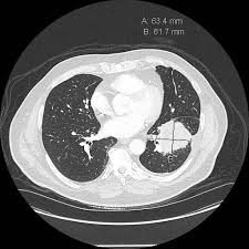
In radiology, a solitary pulmonary nodule (SPN) or coin lesion is a mass in the lungsmaller than 3 centimeters in diameter. It can be an incidental finding found in up to 0.2% of chest X-rays and around 1% of CT scans. The nodule most commonly represents a benign tumor such as a granuloma orhamartoma, but in around 20% of cases it represents a malignant cancer, especially inolder adults and smokers. Conversely, 10 to 20% of patients with lung cancer are diagnosed in this way. Thus, the possibility of cancer needs to be excluded through further radiological studies and interventions, possibly including surgical resection. Theprognosis depends on the underlying condition. A solitary pulmonary nodulus needs to be separated from larger lung tumors, smaller infiltrates or masses with other accompanying characteristics. An often used formal radiological definition is the following: a single lesion in the lung completely surrounded by lung parenchyma (functional tissue) with a diameter less than 3 cm and without associatedpneumonia, atelectasis (lung collapse) or lymphadenopathies (swollen lymph nodes). ot every round spot on a radiological image is a coin lesion: it should not be confused with the projection of a structure of the chest wall or skin, such as a nipple, a healing rib fracture or electrocardiographic monitoring.
The most important cause to exclude is a form of lung cancer, including rare forms such as primary pulmonary lymphoma, carcinoid tumor and a solitary metastasis to the lung (common unrecognised primary tumor sites are melanomas, sarcomas or testicular cancer). Benign tumors in the lung include hamartomas and chondromas. The most common benign coin lesion is a granuloma (inflammatory nodule), for example due to tuberculosis or a fungal infection. Other infectious causes include a pulmonary abscess, pneumonia (including Pneumocystis carinii pneumonia) or rarely nocardial infection or worm infection (such as dirofilariasis or dog heartworm infestation). Lung nodules can also occur in immune disorders, such asrheumatoid arthritis or Wegener's granulomatosis, or organizing pneumonia.
An SPN can be found to be an arteriovenous malformation, a hematoma or an infarction zone. It may also be caused by bronchial atresia, sequestration, an inhaled foreign body or pleural plaque. Several features help to distinguish benign conditions from possible lung cancer. The first parameter is the size of the lesion: the smaller, the less risk for malignant cancer. Benign causes tend to have a well defined border, whereas lobulated lesions or those with an irregular margin extending into the neighbouring tissue tend to be malignant.  If there is a central cavity, then a thin wall points to a benign cause whereas a thick wall is associated with malignancy (especially 4mm or less versus 16mm or more). In lung cancer, cavitation can represent central tumor necrosis (tissue death) or secondary abscessformation. If the walls of an airway are visible (air onchogram), bronchioloalveolar carcinomais a possibility. An SPN often contains calcifications. Certain patterns of calcification are reassuring, such as the popcorn-like appearance of hamartoma. An SPN with a density below 15 Hounsfield units on computed tomography tends to be benign, whereas malignant tumors often measure more than 20 Hounsfield units. Fatty tissue inside hamartomas will have a strongly negative value on the Hounsfield scale. The growth velocity of a lesion is also informative: very fast or very slow growing tumors are rarely malignant, in contrary to inflammatory or congenital conditions. It is therefore important to retrieve previous imaging studies to see if a lesion was presented and how fast its volume is increasing. This is more difficult for nodules smaller than 1 centimeter. Moreover, the predictive value of stable lesion over a period of 2 years has been found to be rather low and unreliable. The work-up in patients with a solitary pulmonary nodule is based on an initial risk assessment. If the risk of malignancy is thought to be low, follow-up imaging (usually serial CT scans) can be planned at a later time. The frequency of further scans can be determined by the patient's risk for cancer and the size of the nodule. If the initial impression is that there is a high likelihood of cancer, then a surgical intervention is appropriate (provided that the patient is fit for surgery). If there is an intermediate risk of malignancy, further imaging with positron emission tomography (PET scan) is appropriate (if available). Around 95% of patients with a malignant nodule will have an abnormal PET scan, while around 78% of patients with a benign nodule will look normal on PET (this is the test sensitivity and specificity). Thus, an abnormal PET scan will reliably pick up cancer, but several other types of nodules (inflammatory or infectious, for example) will also show up on a PET scan. If the nodule has a diameter below 1 centimeter, PET scans are often avoided because there is an increased risk of falsely normal results. Cancerous lesions usually have a high metabolism on PET, as demonstrated by their high uptake of FDG (a radioactive sugar). If the lesion is found on further imaging to be suspicious, it should be surgically excised (via thoracotomy or video-assisted thoracic surgery) to confirm the diagnosis by microscopical examination.

Lung Mass Lungs Diagram of a Smoker after Smoking Cancer Anatomy And Heart Drawing Images AFter Smoking Wee

Lung Mass Lungs Diagram of a Smoker after Smoking Cancer Anatomy And Heart Drawing Images AFter Smoking Wee

Lung Mass Lungs Diagram of a Smoker after Smoking Cancer Anatomy And Heart Drawing Images AFter Smoking Wee

Lung Mass Lungs Diagram of a Smoker after Smoking Cancer Anatomy And Heart Drawing Images AFter Smoking Wee

Lung Mass Lungs Diagram of a Smoker after Smoking Cancer Anatomy And Heart Drawing Images AFter Smoking Wee

Lung Mass Lungs Diagram of a Smoker after Smoking Cancer Anatomy And Heart Drawing Images AFter Smoking Wee

Lung Mass Lungs Diagram of a Smoker after Smoking Cancer Anatomy And Heart Drawing Images AFter Smoking Wee

Lung Mass Lungs Diagram of a Smoker after Smoking Cancer Anatomy And Heart Drawing Images AFter Smoking Wee

Lung Mass Lungs Diagram of a Smoker after Smoking Cancer Anatomy And Heart Drawing Images AFter Smoking Wee

Lung Mass Lungs Diagram of a Smoker after Smoking Cancer Anatomy And Heart Drawing Images AFter Smoking Wee

Lung Mass Lungs Diagram of a Smoker after Smoking Cancer Anatomy And Heart Drawing Images AFter Smoking Wee

Lung Mass Lungs Diagram of a Smoker after Smoking Cancer Anatomy And Heart Drawing Images AFter Smoking Wee

Lung Mass Lungs Diagram of a Smoker after Smoking Cancer Anatomy And Heart Drawing Images AFter Smoking Wee

Lung Mass Lungs Diagram of a Smoker after Smoking Cancer Anatomy And Heart Drawing Images AFter Smoking Wee

Lung Mass Lungs Diagram of a Smoker after Smoking Cancer Anatomy And Heart Drawing Images AFter Smoking Wee

No comments:

Post a Comment